Where Smiles Are Crafted With Care

Skip to main content
ISO 9001:2015 Certified Lucknow's #1 Aligner Clinic 5-Star Google Rating 100+ Happy Patients Painless Dentistry Zero Cost EMI Available Toothsi by makeO Partner Advanced 3D Scanning Dental Tourism Specialists ISO 9001:2015 Certified Lucknow's #1 Aligner Clinic 5-Star Google Rating 100+ Happy Patients Painless Dentistry Zero Cost EMI Available Toothsi by makeO Partner Advanced 3D Scanning Dental Tourism Specialists
Lucknow's Premier Dental Destination

A clinic that feels
nothing like one.

Cosmodont brings café-comfort, ISO-certified precision, and Lucknow's largest clear-aligner programme under one roof — so your smile journey is actually something to look forward to.

ISO 9001:2015 Certified 5-Star Google Rated #1 Aligners in UP Zero Cost EMI

Our Services

Everything your smile needs,
under one roof.

Book a Consultation →
Clear Aligners

Clear Aligners

Lucknow's #1 aligner provider — 20+ cases every month. Straighten teeth invisibly, comfortably, predictably.

Starting ₹55,000 · Zero Cost EMI

Clear Aligners

Dental Implants

Permanent, natural-looking replacements crafted to last decades. We make missing teeth a distant memory.

Starting ₹25,000 per implant

Clear Aligners

Crowns & Caps

Zirconia and 3M crowns matched so precisely to your teeth, nobody will know — not even you.

Starting ₹8,000 per crown

Clear Aligners

Painless Dentistry

Conscious sedation so you feel calm throughout — not scared. Dentistry the way it should always have been.

Ask us about sedation options

Clear Aligners

Orthodontics

Braces, aligners, retainers — precisely tailored to your bite and your lifestyle. Straight teeth, your way.

Starting ₹18,000

Clear Aligners

Smile Makeover

Combine veneers, whitening, and aligners for the complete transformation. See the smile you always imagined.

Custom packages available

How It Works

Four steps to your best smile.

01

Book Online

Pick a slot online or WhatsApp us. We confirm within minutes.

02

Café Welcome

Coffee, WiFi, and zero sterile-room anxiety when you arrive.

03

Expert Consult

Doctor listens, explains your options fully. No upselling. Ever.

04

Painless Treatment

Your personalised plan, delivered gently at your own pace.

Why Choose Us

Cosmodont vs. a typical clinic.

See exactly how we raise the bar on every dimension that matters.

Feature Typical Clinic Cosmodont
ISO 9001:2015 Certification✗ Rarely✓ Certified
Waiting Room ExperienceSterile & anxiousCafé-style comfort
Clear Aligner ExpertiseOccasional cases20+ cases/month, #1 in UP
Pain-free ProtocolStandard anaesthesiaConscious sedation available
Transparent PricingSurprise bills commonFull estimate upfront
Zero Cost EMILimited or noneAll major cards, Bajaj, Fibe
Hygiene Audit FrequencyAnnual or ad hocEvery 3 months

Financing

Your dream smile,
at a pace that works for you.

💳

Zero Cost EMI

No-interest installments on all major credit cards — pay for your treatment in manageable monthly amounts.

🏦

Bajaj Finserv & Fibe

Flexible plans up to 24 months with instant approval. Low-income documentation required.

🛡️

Insurance Accepted

We work with MediAssist, MediBuddy, and Magma Health. Bring your card — we'll handle the rest.

📱

Instant UPI / QR Pay

Contactless payment at the counter. Fast, simple, no friction.

Bajaj Finserv
Fibe
SaveIN

Insurance Partners

MediAssist MediBuddy Magma Health

FAQ

Questions we hear every day.

Yes. We offer conscious sedation with nitrous oxide (laughing gas) for anxious patients, plus advanced local anaesthesia technique that most patients say they barely feel. Pain management is taken seriously — not as an afterthought.

Most cases complete in 6–18 months depending on complexity. After your 3D scan, we'll show you a simulated end result before you commit to anything. You'll know exactly what to expect.

Yes — through Bajaj Finserv and Fibe, we offer financing with minimal documentation. Approval is usually instant. Ask our front desk at your consultation.

Absolutely — we encourage it. Bring your X-rays and previous reports. Our doctors will give you an honest assessment without any pressure to proceed with us.

Yes. We hold ISO 9001:2015 certification, which means our sterilisation, workflows, and patient safety protocols are independently audited every three months — not just annually.

Yes — we actively welcome dental tourists from Delhi, Mumbai, and across UP. We offer virtual consultations before you travel, and we schedule treatments to minimise your trips.

Book Appointment

Ready to start? So are we.

Book your free consultation below — or just WhatsApp us and we'll do the rest.

📍

Our Address

1/246, Viram Khand 1, Gomti Nagar, Lucknow
Open in Google Maps →

🕐

Clinic Hours

Mon – Thu: 11:00 AM – 9:00 PM
Fri – Sun: By Appointment

💬

WhatsApp (Fastest)

Message us on WhatsApp →
Usually replies within 10 minutes.

🏅
ISO 9001:2015
Certified Clinic
5-Star
Google Rating
🦷
Largest in UP
Aligner Provider
🏥
3-Month
Hygiene Audits
💳
Zero Cost
EMI Available

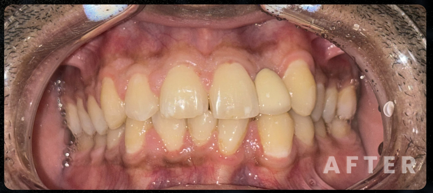
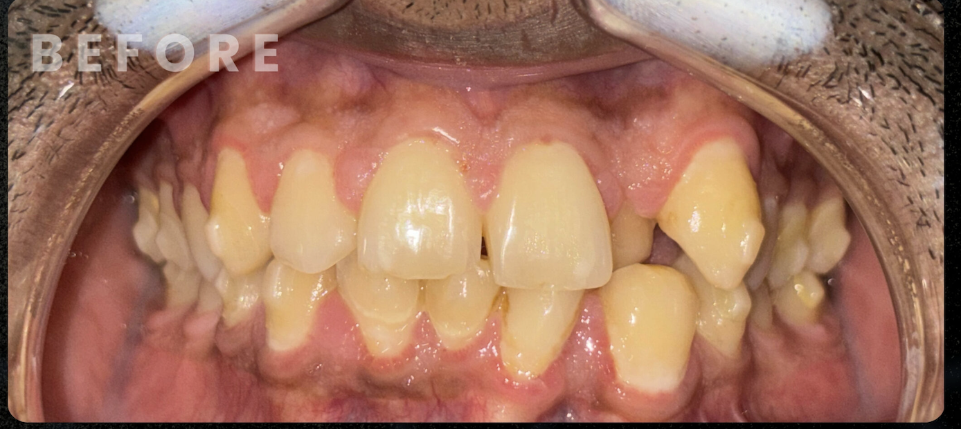
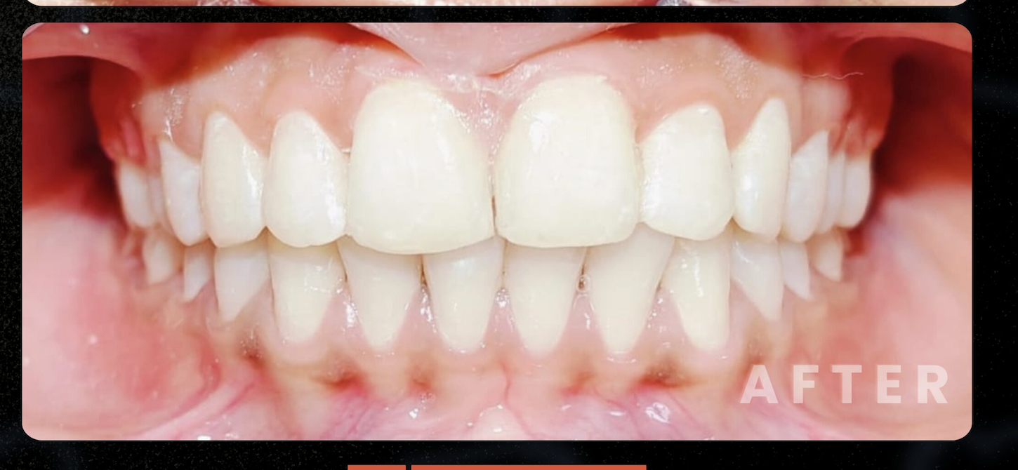
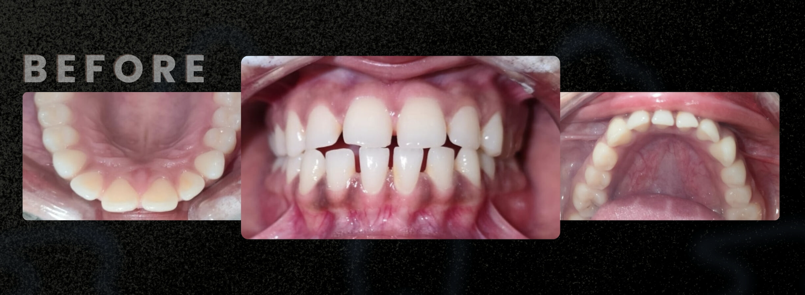
Real Results

The proof is in the smile.

Drag the slider to see genuine before & after transformations from our patients.

Clear Aligner Transformation

Cosmetic · Aligners · 14 months

Smile Makeover

Crowns · Veneers · 6 months

Dental Implant

Implantology · Restorations

Meet the Team

Doctors who explain,
not just treat.

Every specialist at Cosmodont was chosen for clinical excellence and patient empathy — in equal measure.

Dr. Utkarsh Singh

"I believe in explaining everything first. A patient who understands their treatment trusts the process."

Dr. Utkarsh Singh

Co-Founder & Chief Dental Surgeon

Periodontics Implantology

"I believe in explaining everything first. A patient who understands their treatment trusts the process."

Dr. Ananya Sharma

"Every smile we restore changes how someone sees themselves."

Dr. Ananya Sharma

Co-Founder & Chief Implant Surgeon

Implantology Dental Surgery Periodontology

"Every smile we restore changes how someone sees themselves."

Dr. Abhinav Srivastav

"The best dental work is the kind nobody can tell you had done."

Dr. Abhinav Srivastav

Cosmetic Dentist & Aligner Consultant

Cosmetic Dentistry Aligners Restorations

"The best dental work is the kind nobody can tell you had done."

5.0  ·  Google Reviews  ·  100+ patients

Patient Stories

Straight from the chair.

Every review below is a real Google rating, unedited.

★★★★★

"Gem of a doctor — explained things clearly, didn't recommend unnecessary procedures. Exactly what you want from a dentist."

Aakash Pathak

Google Local Guide

★★★★★

"The clinic is clean, hygienic, and well organised. Dr. Utkarsh is highly professional, skilled, and truly patient-friendly."

Bharat Bhushan

Google Review

★★★★★

"Treatment was painless and effective. Proper hygiene is maintained and appointments are managed beautifully."

Kushal Gupta

Google Review

★★★★★

"The reception is always tidy. Laxmi manages phone and visitors seamlessly — a wonderful attitude every single time."

Arnav Yadav

Google Review

★★★★★

"They genuinely care about their patients in an excellent, attentive way. Rare to find in Lucknow."

Parikshit Pande

Google Review

★★★★★

"Cosmodont is my go-to for any dental emergency. Doctors give exactly the kind of assurance every patient needs."

Zapan Chawla

Google Review

Cosmodont clinic interior
500+
Patients from outside Lucknow

Dental Tourism

Worth travelling for.

Patients fly in from Delhi, Mumbai, and across UP — because expertise this refined, at prices this fair, simply isn't available everywhere.

Savings of 40–60% versus metro cities, with no compromise on technology or technique.

Virtual consultations so your treatment plan is ready before you arrive.

Accommodation guidance in Gomti Nagar, Lucknow's most pleasant neighbourhood.

Multi-treatment scheduling — we bundle appointments to minimise your travel days.

Why Cosmodont

A clinic built around
how you actually feel.

We designed every detail — from lighting to chair comfort — so anxiety stays at the door.

Café-Like Welcome

Walk into warmth, not sterile cold. Coffee, WiFi, and zero waiting-room dread — because first impressions shape your whole experience.

🔬

Advanced Technology

3D intraoral scanning, digital X-rays, and precision-guided implant surgery. We invest in equipment so your results are predictable, not guesswork.

💬

Transparent, No-Upsell Care

You'll know exactly what you need — and what you don't. Our doctors explain everything clearly, recommend only what's necessary, and never oversell.

🦷

Painless, Every Time

Conscious sedation, gentle technique, and a team trained to read your comfort levels. Fear of dentists ends here.

Your best smile is
one appointment away.

Join 100+ patients who trust Cosmodont — Lucknow's most advanced dental clinic.